服务热线
18532111192
中国超声医学工程学会 | 2022-04-22
静脉功能不全(VI)和慢性静脉功能不全(CVI)是可以互换的术语
静脉内血流动力学

正常静脉血流和静脉瓣的活动
血流动力学

功能不全的瓣膜和穿支引起静脉血流反流
异常情况下的血流动力学:随着肢体远端压力的增大,早期管腔内静脉血流方向仍是朝向头侧的,仍可通过异常的静脉瓣膜引流下肢血液。此时,下肢深静脉管腔内的血流通过异常的交通支静脉流入浅静脉内,这种负压机制可以导致静脉管腔的扩张及静脉走形迂曲。
正常的静脉瓣膜结构


什么是静脉曲张?
静脉瓣膜
静脉系统包含很多瓣膜结构以完成血液的回流,这些瓣膜结构可以防止血液逆流。这些静脉瓣膜结构就像两扇敞开的大门,平时处于开放状态,如果加压探头或肢体远端压力增大,瓣膜就会处于关闭状态,以防止下肢血液逆流。
静脉瓣膜在其功能正常的情况下,可以很好的起到一个静脉阀门的作用。但是一旦静脉管腔内的血流出现反流现象,那么说明静脉瓣膜系统出现了问题。
根据瓣膜功能不全的程度,反流入浅静脉内的血流可使浅静脉管腔扩张、走形迂曲。
静脉曲张的原因包括:
家族遗传性因素。瓣膜结构薄弱,不能紧密闭合;瓣膜发育异常或缺如。
外伤或者血栓形成,瓣膜附着于静脉管壁上,使瓣膜黏连受损,活动受限。
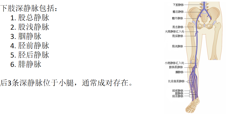
深静脉是血液回流入心脏的主要途径。深静脉收集所有浅静脉及肌间静
脉管腔内的血液。

浅静脉系统
下肢有两条较重要的浅静脉:
1.大隐静脉,起始于踝关节内上方,沿腿部内侧向上走行,在腹股沟区隐—股静脉交界处汇入股总静脉。
2.小隐静脉,在足外侧缘起自足背静脉弓,沿小腿后方上行至腘窝处,
于隐—腘交界处汇入腘静脉。通常情况下,小隐静脉可继续上行延至
大腿后方的Giacomini静脉,汇入股浅静脉中下段或大隐静脉根部。
隐—股汇合处静脉及隐—腘汇合处静脉功能不全是导致下肢静脉曲张的两个重要因素。
股-隐静脉汇合处
1、大隐静脉起始端于腹股沟区起始于股总静脉
2、瓣膜破坏常首先发生于隐-股静脉瓣,因该处瓣膜位置最高,解剖位置浅表,缺乏肌肉保护。

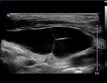
隐-腘静脉汇合处(SPJ)
1、小隐静脉常于腘窝处汇入腘静脉
2、约25%人群不存在SPJ,而是小隐静脉继续上行延伸为Giacomini静脉,汇入股浅静脉。
3、仅有15%的人存在中位SPJ,其余的隐-腘结合位于小腿的内侧/外侧,通常经过腓静脉汇入腘静脉

隐-腘静脉汇合处(SPJ)解剖示意图.

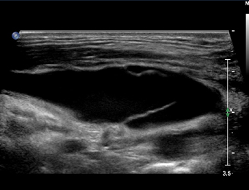
小腿横断面显示小隐静脉的“眼状”图

小隐静脉可不通过隐腘交界处直接移行为Giacomini静脉,上图所示为正常的SPJ结构与Giacomini静脉
静脉功能不全的超声检查方案
超声在静脉功能不全方面的作用
确定下肢静脉曲张的原因及反流程度
超声检查适应征
超声检查的局限性
理想情况下,应在患者直立或尽可能直立的情况下进行检查。有些病人在进行这些动作会有困难。
腿部明显水肿或溃疡会影响扫描质量。
仪器设备选择
使用中高频率(7-10MHZ)线阵探头可更好地显示下肢静脉。
根据病人的身体状况,如肥胖、下肢肿胀等情况下行深静脉检查,可加备2-5MHZ低频凸阵探头评估深静脉。
下肢静脉内血流速度相对较低,超声检查时应选择对低速血流较为敏感的彩色多普勒和脉冲多普勒设置,如低的流速、低的壁滤波等
患者体位
理想情况下,应在患者直立或尽可能直立的情况下进行扫描。但有些病人站立位会有困难,且偶尔会感到头晕或疲倦。
在进行下肢静脉超声检查时,使用可升降或一端倾斜的检查床,保持头高足低位,即检查床与地面的夹角在30°以上有利于操作。
病人仰卧位,轻轻弯曲其被检侧膝盖,被检侧下肢外旋,另一侧下肢保持水平伸直状态。
检查技术
深静脉超声检查步骤
有深静脉血栓病史的患者,血栓后综合征可导致深静脉功能不全。深静脉瓣功能不全或深静脉血栓是进行深静脉超声检查的相对禁忌症。
从腹股沟经大腿前、内侧扫查与同名动脉伴行的股总静脉、股深静脉及股浅静脉,分别采用远侧肢体挤压法检测各静脉是否存在反流。
髂外静脉没有静脉瓣,所以不需要对其进行静脉功能不全的检查。
检查股浅静脉近端:探头纵切,与血管方向平行,使用彩色和频谱多普勒技术。可嘱病人深吸气,屏气过程中用力做呼气动作以增加腹压。此时,如静脉瓣功能不全,静脉管腔内可显示反流血流信号。注意:由于静脉瓣膜作用,正常静脉内反流时间不会超过0.5s。
检查股浅静脉远端: 嘱患者做Valsava动作以增加腹压,或者挤压远侧肢体诱发静脉反流。
从腘窝开始,分别向大腿远侧和小腿近侧扫查腘静脉,腘静脉与其伴行腘动脉极易显示,需要注意不要将肌内静脉误作腘静脉,检查方法同股浅静脉。
从腹股沟部显示隐-股汇合处,采用远侧肢体挤压法或Valsava动作检测其瓣膜功能。
如果存在瓣膜功能不全时,应记录穿支静脉与下肢浅表解剖标志之间的距离(如距腹股沟皮肤皱褶、腘窝皮肤皱褶等)
纵断面显示隐—腘静脉汇合处,沿小腿向下扫查小隐静脉主干及其属支。
采用远侧肢体挤压法检测其瓣膜功能。
如果瓣膜功能异常,测量隐—腘静脉汇合处直径,测量隐腘静脉汇合处与腘窝皮肤皱褶之间的距离。
下肢腓神经常与小隐静脉相伴行,从小腿中部向下至脚踝。如果小隐静脉瓣膜功能不全,我们在超声报告中应提示腓神经是否与小隐静脉有相关性。在外科手术中,手术医师他们可能会将其混淆。
穿支静脉,顾名思义,连接浅静脉深静脉。根据其定义,穿支静脉须穿过浅层脂肪组织和肌筋膜。
探头横切,反复上下扫查小腿内侧,扫查小腿深静脉全程,显示与其相连接并穿过筋膜的穿支静脉。
静脉管腔内血流方向应始终为由浅向深。
如果超声扫查到血流方向变为从深到浅,则表明静脉瓣膜功能异常,静脉瓣功能不全且直径较大(>3mm)的穿支静脉具有临床意义。

显示股总静脉分叉处
显示股浅静脉近端及远端,明确管腔内血流是否通畅
显示腘静脉,明确管腔内血流是否通畅
显示隐股汇合处及隐腘汇合处,明确瓣膜功能是否正常。任何瓣膜功能异常的静脉,均应记录其直径、距皮深度、曲张与否及与浅表解剖标志之间的距离。标记曲张静脉及正常静脉
如果超声检查过程中发现静脉血栓形成,应按照相应指南做出相应的超声描述。