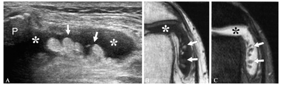
蔓状脂肪瘤,又称弥漫型滑膜脂肪瘤或滑膜绒毛样增殖,是一种罕见的单关节反应性病变,引 起 局 部 脂 肪-部 分 脂 肪 绒 毛 样 增生。它可能是原发的,或较常见的和其他关节病变相伴随,如退行性关节病、类风湿关节炎或以前的外伤。虽然偶尔有发生在髋关节、肩 关 节 或 肘 关 节 的 报 道,但是蔓状脂肪瘤最常发生在膝关节,特别是髌上隐窝。从临床的角度看,它可表现为长期的无痛性滑膜增厚和间断性的关节积液。蔓状脂肪瘤的超声表现为树样轮廓的团块和绒毛状突起,是因滑膜下 组 织 由 成 熟 的 脂 肪 组 织 代 替 所 致。一般情况下,肿瘤和滑 膜 组 织 相 比 回 声 多 伴 关 节 积 液 (图一A)。关节被动活动时,动态扫描可显示绒毛样突起来回弯曲和漂动。
如 怀 疑 蔓 状 脂肪瘤,应做 MRI检查确定诊断,所有脉冲序列的 MRI显示为叶状结构和类似脂肪的信号强度(图一B,C;)。

A. 膝关节髌骨旁隐窝侧面12~5MHz超声横断面显示关节内叶状、回声相对较高的团块(箭头),滑膜积液(* )使轮廓更清晰;P. 髌骨;T1 增强(B)和脂肪抑制 T2 增强(C)MRI横断面证实团块叶状突起的脂肪成分